新浪军事

美国佛罗里达又现致命“食脑虫”,死亡率高达97%

澎湃新闻

关注
近日,美国卫生官员表示,佛罗里达州出现了一例罕见“食脑虫”感染病例,该寄生虫学名为福氏耐格里阿米巴原虫,人类在感染该寄生虫后的死亡率高达97%。

英国广播公司(BBC)6日报道称,佛罗里达州希尔斯伯勒县4日报告了一例福氏耐格里阿米巴原虫(俗称“食脑虫”)感染病例,不过该州卫生局目前尚未披露此次的具体感染地点和病人状况。

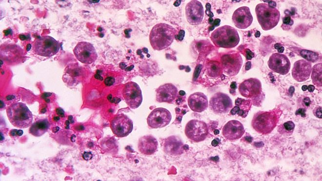
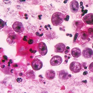
资料显示,福氏耐格里阿米巴原虫是一种单细胞寄生虫,可在温暖的淡水区域中存活,常出现于美国南部各州温暖的淡水湖、河流与池塘中。它可以通过鼻腔进入人类大脑,进而感染大脑导致死亡,不过直接饮用被污染的水源却不会导致感染。

美国疾病控制和预防中心(CDC)表示,“食脑虫”在佛罗里达州比较罕见,自1962年以来,该州仅出现过37例感染,“实际上,‘食脑虫’在全美也非常罕见。从1962年至2018年,美国仅出现了145例相关病例,然而,其中只有4人存活下来,死亡率高达97%。”

据了解,该病不会出现人传人的情况。

BBC刊文指出,感染食脑虫后,病人会出现发烧、恶心、呕吐、脖子僵硬和头痛等症状,严重者可能还会癫痫发作,出现幻觉,甚至昏迷。大多数感染者会在一周内死亡。由于食脑虫感染十分凶险,佛罗里达卫生局敦促有上述症状者务必尽快就医。

基于食脑虫感染的致命性,佛罗里达州卫生局已于7月3日向希尔斯伯勒县居民发出防护警告。卫生官员呼吁当地民众避免让自己的鼻腔与自来水以及包括湖泊河流水池和运河等地的水体接触,尤其是在7月至9月这段高温易感染期内。

“这种疾病非常罕见,假使采取有效的预防措施的话,大家就可以度过一个安全舒适的夏日游泳季。”卫生局在声明中写道,“人们应该避免在温暖的淡水中或发电厂附近,从事与水有关的活动。当必须从事与水相关的活动时,人们最好使用鼻夹,以及只使用煮沸的或无菌的水来使用洗鼻壶。此外,当在温水中游泳后出现相关症状时,应立即就医。”

加载中...